Gum Disease
What is a Gum Disease?
Periodontal (gum) disease is a chronic infection of the supporting bone and tissues that hold your teeth in place. This disease can occur at any age and may affect one tooth or several teeth. The three stages of periodontal disease – from mild to severe – are gingivitis, periodontitis, and advanced periodontitis. If left untreated, gum disease can lead to sore, bleeding gums, and even permanent tooth loss.

What cause Gum Disease?
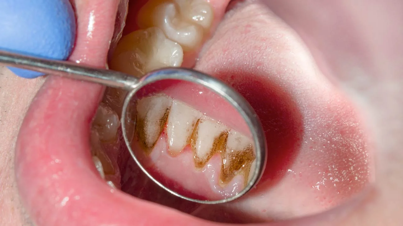
Our mouths are filled with bacteria. These bacteria and other particles constantly form a sticky, colourless “plaque” on the teeth. Practising good oral hygiene daily, such as thorough brushing and regular flossing, can help remove plaque. Any plaque that remains can harden to become tartar, which can be removed by a dentist through simple scaling and polishing.
Several factors can increase the risk of periodontal disease:
- Smoking
- Diabetes
- Certain medications such as steroids, anti-epilepsy drugs, cancer therapy drugs, calcium channel blockers
- Poor oral hygiene
- Bridges that no longer fit properly and defective fillings
- Genetic susceptibility
What are the Symptoms of Gum Disease?
Common signs and symptoms include:

Bleeding gums when brushing or flossing

Red, swollen, or tender gums

Pus discharge or swelling of gums

Gum recession

Persistent bad breath

Loose or shaky permanent teeth

Discomfort or a dull ache in gums and teeth, causing painful chewing
How is Gum Disease Diagnosed?
During a dental visit, the dentist or dental hygienist may:
- Examine your gums for signs of inflammation
- Use a specialised ruler called a “probe” to check for pockets around the teeth (this test is painless)
- Ask about your medical history or any underlying symptoms to identify contributing conditions or risk factors
- Take X-rays to check for bone loss, if necessary
- Refer you to a periodontist, a gum disease specialist, if additional treatment options are needed


How is Gum Disease Treated?
Treatment depends on the extent of the disease, and maintaining good oral hygiene is essential. Dentists will strongly advise changing unhealthy habits such as quitting smoking to improve outcomes.

Non-Surgical Periodontal Treatment
- In early stages, gum disease can be reversed quickly.
- The dentist performs scaling and polishing to remove plaque and tartar from above and below the gum line and root surfaces.
- Special instruments such as ultrasonic scalers, hand scalers, and other tools are used for root planing to remove tough tartar and bacterial deposits on tooth roots, usually under local anaesthesia.
- Replacement of defective fillings or dental bridges may be necessary to reduce plaque accumulation.
- The dentist provides personalised oral hygiene instructions for optimal dental health.
Surgical Periodontal Treatment (Gum Surgery)



Open Flap Debridement (OFD)
- If gum inflammation persists, pockets between teeth and gums may deepen.
- Tartar in these pockets can be difficult to remove, so flap surgery (Open Flap Debridement) may be recommended.
- During the procedure, gums are raised and moved aside under local anaesthesia.
- The periodontist cleans the roots and removes stubborn tartar, then closes the pockets with stitches.
Bone Grafting
- In advanced periodontitis, damaged tooth roots may require a bone graft to restore bone, stabilize the tooth, and promote regrowth.
Tissue Grafting
- If gum recession occurs, tissue grafting may be performed.
- Tissue is typically taken from the roof of the mouth and attached to the affected area to cover exposed roots and reduce further damage.

Open Flap Debridement (OFD)
- If gum inflammation persists, pockets between teeth and gums may deepen.
- Tartar in these pockets can be difficult to remove, so flap surgery (Open Flap Debridement) may be recommended.
- During the procedure, gums are raised and moved aside under local anaesthesia.
- The periodontist cleans the roots and removes stubborn tartar, then closes the pockets with stitches.

Bone Grafting
- In advanced periodontitis, damaged tooth roots may require a bone graft to restore bone, stabilize the tooth, and promote regrowth.

Tissue Grafting
- If gum recession occurs, tissue grafting may be performed.
- Tissue is typically taken from the roof of the mouth and attached to the affected area to cover exposed roots and reduce further damage.
How Can I Prevent Gum Disease?
Effective plaque removal can help prevent gum disease. Preventive steps include:
- Brush at least twice a day with a soft toothbrush and fluoride toothpaste; don’t forget your tongue
- Replace your toothbrush every three months
- Floss daily to clean areas between teeth where a toothbrush cannot reach
- Visit your dentist at least twice a year for check-ups and professional cleaning
- Do not smoke
- Eat nutritious meals
Remember: a beautiful smile starts with healthy gums!
Periodontal (Gum) Disease and Systemic Diseases

Diabetes
- Uncontrolled blood sugar increases the risk of gum disease.
- Reduced saliva in diabetic patients leads to less protection against bacteria and plaque.
- Higher glucose levels in saliva promote bacterial growth.
- Diabetes care and dental care are closely linked.
- Even if you do not have diabetes, studies have shown inflammation caused by gum disease increases your risk for diabetes.

Heart Disease
- Gum disease may increase the risk of heart disease, including heart attack and stroke, due to inflammation and bacteria affecting arteries.

Alzheimer’s Disease
- Periodontal disease caused by Fusobacterium nucleatum may exacerbate Alzheimer’s symptoms if untreated.
- Treating gum disease effectively may slow progression in early-stage Alzheimer’s.

Pregnancy
- Hormonal changes during pregnancy can increase gum sensitivity and risk of gum disease.
- Studies show women with premature births often have some degree of gum disease compared to those with full-term pregnancies.

Your Trusted Partner in Dental Excellence.
Your journey to a dream smile starts here. Experience personalized, comfortable care from the moment you walk through our doors, tailored specifically to your unique needs.